Dental Studio Zagreb | Ul. Gaje Bulata 10, Zagreb | Tel. +385 91 550 6735 | E-adresa

Odabrani radovi

Postavljena konstrukcija od 12 zuba koja se fiksno šarafi u ordinaciji, a oslanja se na četiri implantata, tzv. »all on four«

Rekonstrukcija prednjih zuba koji nedostaju i povezivanje s ostalima cirkon-keramičkim mostom

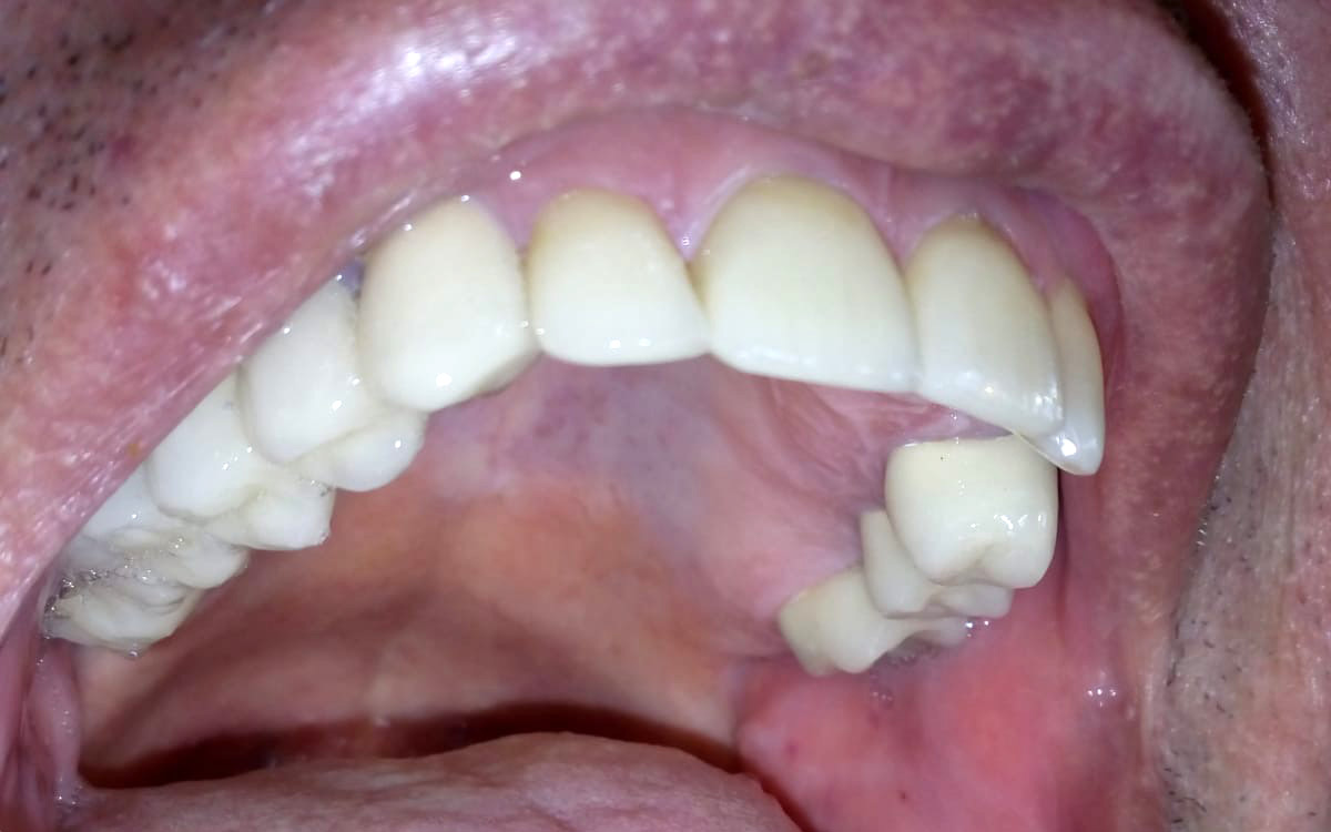
Kombiniran fiksno-protetski rad: fronta fiksna, lateralni zubi na mobilnoj protezi

Kombinirane tehnike na sjekutićima: ljuskice na drugom desnom sjekutiću (zaostalu mliječnom zubu), cirkon-keramička krunica i na lateralnim zubima 3–6 metal-keramički most

Rekonstrukcija zuba gornje i doljnje čeljusti cirkon-keramičkim mostovima

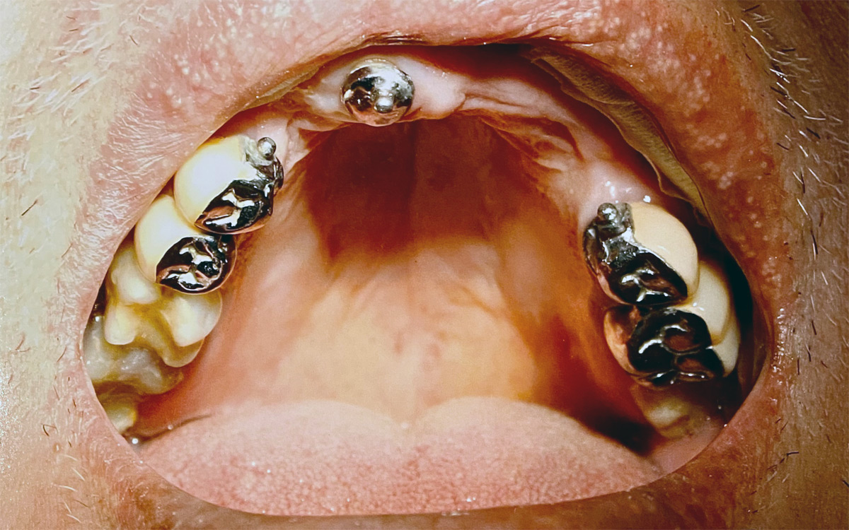
Rekonstrukcija zuba u lateralnim segmentu metal-keramičkim krunama

Rekonstrukcija cijele gornje čeljusti metal-keramičkim mostom, gdje kao nosači služe tri zuba i tri korijena opremljena čeličnim štiftovima

Rekonstrukcija obaju sjekutića press-keramičkim krunicama

Kombinirani rad: fiksni lateralni mostovi s prednjim zubima u protezi

Rekonstrukcija gornjih prednjih zuba cirkon-keramičkim krunama

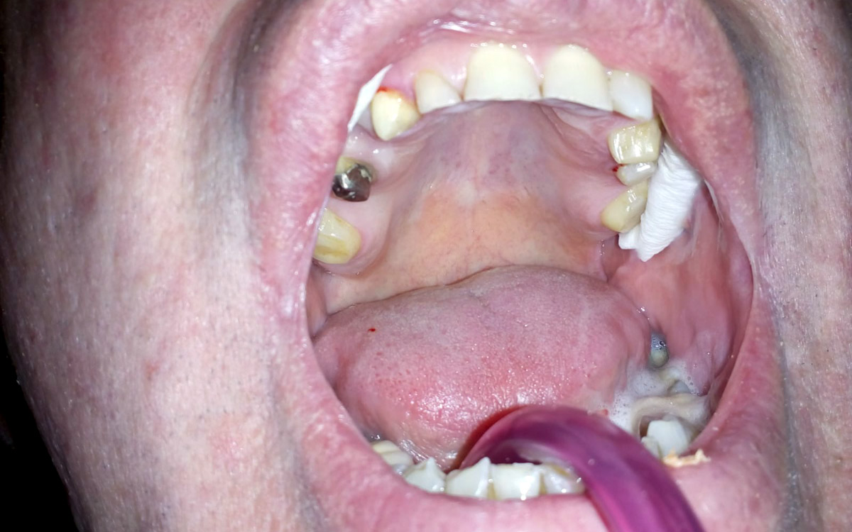
Korijen opremljen metal-keramičkom krunicom. Zub postavljen u nestandardan položaj, usklađen s prirodnim zubom na drugoj strani.

Tri implantata u donjoj čeljusti i metal-keramička konstrukcija na njima

Ljuskice na jedinicama, cirkon-keramička kruna na lijevoj dvojci, metal-keramički most na zubima 3–6 (desno)

Kontakt

Dental Studio Zagreb
Ul. Gaje Bulata 10
HR-10000 Zagreb

Tel. +385 91 550 6735

E-adresa: lidija.sulevski@gmail.com

Potražite nas na karti